Удалили гигантский эхинококк из головы: стало известно о состоянии пациентки

Айнаш Ондирис
Айнаш Ондирис Журналист

ПОДЕЛИТЬСЯ

Удалили гигантский эхинококк из головы: стало известно о состоянии пациентки

Врачи Семея сообщили о состоянии пациентки, которой накануне удалили гигантскую эхинококковую опухоль из головы, передает корреспондент Tengrinews.kz.


Врачи Семея сообщили о состоянии пациентки, которой накануне удалили гигантскую эхинококковую опухоль из головы, передает корреспондент Tengrinews.kz.

"Пациентка пробудилась после оперативного вмешательства, она экстубирована. Сейчас она находится в сознании, потихоньку разговаривает. Руки-ногами двигает, сама кушает. Маму, родственников, всех узнает. Пациентка получает интенсивную терапию в плановом порядке, все, что положено", - сообщил врач-нейрохирург больницы скорой медицинской помощи города Семея Толеугали Койшыбаев.

Операция по извлечению эхинококковой кисты длилась 2 часа. Материал предоставлен общественным объединением KAZNEURO

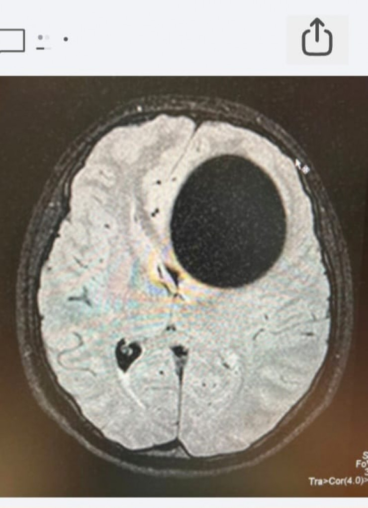
Накануне нейрохирурги Семея извлекли гигантскую эхинококковую кисту из головы пациентки. 20-летняя девушка поступила 17 января к невропатологам больницы скорой медицинской помощи (БСМП) Семея. Сначала у нее подозревали инсульт, однако на компьютерной томографии в головном мозге была выявлена огромная киста диаметром 5,5 сантиметра.

За короткое время был установлен диагноз "эхинококкоз" и принято решение о трепанации черепа и извлечении опухоли. Незамедлительно она была прооперирована.

КТ-снимок до операции.

КТ-снимок после операции. Материал предоставлен общественным объединением KAZNEURO

Эхинококковая киста головного мозга (эхинококкоз головного мозга) - природно-очаговое паразитарное заболевание центральной нервной системы, вызываемое ларвальными стадиями гельминтов Echinococcus multilocularis и Echinococcus granulosus. Паразиты попадают в организм через грязные руки, а также передаются от собак, кошек и лис.

Без своевременного лечения эхинококкоз может привести к летальному исходу.

Запустили специальный канал про финансы, экономику и новости бизнеса. Подписывайтесь на Tengri.Деньги прямо сейчас!

Өзекті жаңалықтарды сілтемесіз оқу үшін Telegram желісінде парақшамызға тіркеліңіз!

Tengrinews
Читайте также

Курс валют

 481.88   556.79   5.72 

 

Погода

Алматы
А
Алматы 12
Астана -1
Актау 17
Актобе 5
Атырау 13
Б
Балхаш 8
Ж
Жезказган 5
К
Караганда 5
Кокшетау 3
Костанай 10
Кызылорда 1
П
Павлодар 3
Петропавловск 1
С
Семей 9
Т
Талдыкорган 9
Тараз 13
Туркестан 4
У
Уральск -1
Усть-Каменогорск 15
Ш
Шымкент 5

 

Редакция Реклама
Социальные сети