"Матовое стекло". Как развивается пневмония у инфицированных COVID-19

ПОДЕЛИТЬСЯ

"Матовое стекло". Как развивается пневмония у инфицированных COVID-19 © Science

Telegram-канал Baza опубиковал материал, в котором просто и понятно описал, как именно у инфицированных COVID-19 развивается пневмония и какие необычные особенности у него есть.


Telegram-канал Baza опубиковал материал, в котором просто и понятно описал, как именно у инфицированных COVID-19 развивается пневмония и какие необычные особенности у него есть.

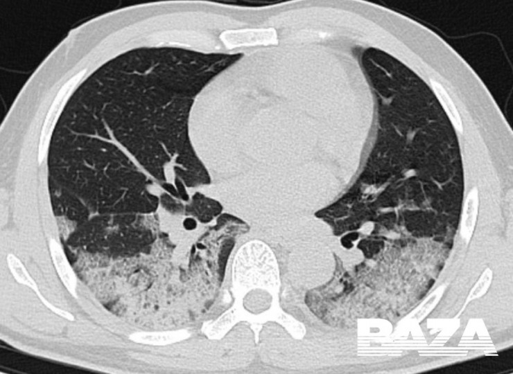
Одна из отличительных особенностей вирусной пневмонии - это симметричное поражение легких с полисегментарными воспалительными изменениями (в нескольких частях, то есть в разных долях и разных не смежных сегментах). Другие виды пневмонии развиваются, как правило, в пределах одной доли легкого, а не везде. Так, при заболевании COVID-19 на компьютерных томограммах видны уплотнения легочной ткани, похожие на прозрачные потертые пятна. В медицине такие патологии называют симптомом "матового стекла".

На ранней стадии развития вирусной пневмонии (проявляется до четвертого дня заболевания) "матовое стекло" возникает не более чем в трех очагах. При этом уплотнения распространяются преимущественно в нижних долях и по периферии, а их максимальный диаметр не превышает три сантиметра. Из-за повреждений в альвеолах скапливается жидкость, которая приводит к нарушению кислородного обмена и кислородному голоданию пациента, такие пациенты начинают жаловаться на одышку и затрудненность дыхания.

Затем пневмония начинает прогрессировать. В течение пяти-восьми дней количество уплотнений по типу "матового стекла" становится больше, и они постепенно трансформируются в очаги консолидации по периферии легких.

На пиковой стадии вирусной пневмонии (она развивается на 10–13-й день) появляются множественные уплотнения по типу "матового стекла" с различной протяженностью. Причем поражение может быть более обширным - субтотальным, с вовлечением всей доли целиком, а не только в пределах одного сегмента.

Вирусная пневмония составляет до 29 процентов от всех внебольничных пневмоний, требующих госпитализации. Однако ее развитие провоцируют, как правило, грипп (50-60 процентов), респираторные вирусы (20-25 процентов) и аденовирусы (около 10 процентов).

До пандемии COVID-19 коронавирусы редко регистрировались как возбудители пневмонии, но сейчас она есть у большинства пациентов, находящихся в состоянии средней тяжести.

Между тем немецкая анимационная студия Kurzgesagt - In a Nutshell создала ролик, объясняющий, как коронавирус попадает в организм человека и как на него реагирует иммунная система. Видео опубликовано в YouTube.  

Tengrinews
Читайте также

Курс валют

 481.88   556.79   5.72 

 

Погода

Алматы
А
Алматы 11
Астана -5
Актау 6
Актобе -1
Атырау 8
Б
Балхаш 0
Ж
Жезказган -2
К
Караганда -1
Кокшетау -3
Костанай 5
Кызылорда -2
П
Павлодар -1
Петропавловск -2
С
Семей 9
Т
Талдыкорган 11
Тараз 12
Туркестан -2
У
Уральск -1
Усть-Каменогорск 14
Ш
Шымкент 2

 

Редакция Реклама
Социальные сети