Мы привыкли к тому, что важный человеческий орган, за сутки перекачивающий до 10 тысяч литров крови, должен быть расположен слева. Однако бывают исключения. TengriMIX познакомился с удивительной девушкой, у которой сердце находится с правой стороны, и узнал у медиков, сколько таких необычных людей проживает в Казахстане.
27-летняя жительница Алматы Асем Смагулова о своей особенности узнала не сразу. Однако замечала в себе нечто странное - будто сердце билось не как у обычных людей, а справа. В студенчестве девушке неожиданно стало плохо. Она попала в больницу. Там и узнала о том, что у нее транспозиция органов.
"Мне было 18 лет, тогда я училась на первом курсе в университете. После занятий почувствовала недомогание, колол левый бок внизу живота. Вызвали скорую медицинскую помощь. Они увезли в больницу. Там три часа возили на каталке по кабинетам, не могли понять, что со мной. Только главный хирург заявил о подозрении на аппендицит. Сделали УЗИ. Он и рассказал, что у меня зеркальные органы. Самое интересное, я все время твердила маме, что, когда бегаю, у меня бьется сердце с правой стороны. Она смеялась, не верила, говоря, что так не бывает", - вспоминает Асем.

© Асем Смагулова
Тогда врач утешил пациентку, объяснив, что это редкий случай, но с такой аномалией люди могут жить полноценно. Девушка пыталась самостоятельно изучить причины необычного явления.
"Я читала в Интернете много разных статей, но не нашла конкретных объяснений патологии. Мне интересно, сколько нас таких в стране? Само расположение органов мне не мешает жить, я веду обычный образ жизни. С детства занималась танцами, спортом и чувствую себя вполне здоровой", - сказала алматинка.
По словам заведующего отделом лучевой диагностики Научного центра педиатрии и детской хирургии Министерства здравоохранения РК Сундета Саргелова, транспозиция органов довольно хорошо изучена в медицинской науке. Впервые итальянский ученый-медик Иероним Фабриций в 1606 году во время своих анатомических исследований обнаружил у человека расположение сердца справа. А спустя 37 лет его коллега Марко Аурелио Северино подробно описал зеркальное нахождение органов.

Сундет Саргелов
Транспозиция внутренних органов - редкий вариант биологически нормальной анатомии, в котором основные внутренние органы имеют зеркальное расположение по сравнению с обычным нормальным положением: сердце - справа, печень - слева, желудок - справа. Такой случай встречается у одного человека из 10 тысяч. Главная причина - мутация генов, и передается аномалия по наследству.
"Сердце будущего ребенка начинает формироваться уже на третьей неделе беременности, именно тогда определяется, где оно будет находиться: в левой или правой части грудной клетки. Причина - в мутации гена, то есть происходит некая поломка гена либо у мамы, либо у отца эмбриона. Ни в коем случае аномалию нельзя связывать с национальностью, местом жительства человека, его образом жизни, экологией", - поясняет Сундет Шакирович.

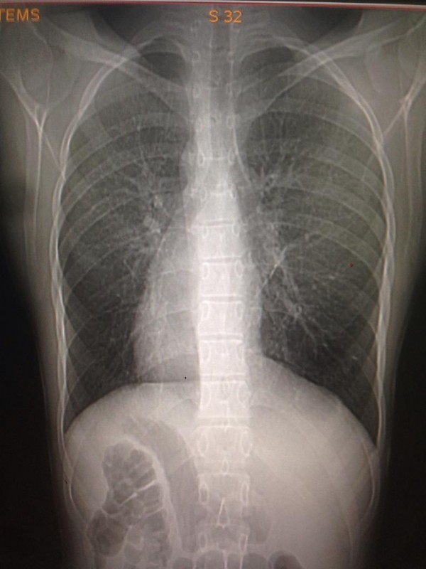
Транспозиция внутренних органов. Снимок предоставлен Сундетом Саргеловым
К сожалению, точных статистических данных обо всех казахстанцах, сердце которых расположено с правой стороны грудной клетки, нет. Однако, по словам медработника, в нашей стране ситуация аналогична мировой. Таким образом, если население Казахстана в среднем составляет 18 миллионов, то по вычету получается, что среди нас живет около 1800 правосердечников. В основном люди узнают об аномалии, когда делают рентген. К тому же зачастую посмертное вскрытие не проводят, так как родные умершего бывают против этой процедуры.
"На западе, в частности в Англии, а также США, после смерти тела исследуются, тогда и обнаруживается аномалия. Поэтому если наши граждане не болеют, не обследуются, то живут, не подозревая о своей уникальности. Это так же, как среди людей есть правша и есть левша. Если у человека нет других врожденных пороков сердца и аномалий внутриутробного развития, то он может спокойно жить, учиться и работать наравне со всеми. Многие из них доживают до преклонного возраста", - поясняет кандидат медицинских наук.
Также зеркальное расположение внутренних органов встречается при синдроме Зиверта-Картагенера, это аутосомно-рецессивное генетическое заболевание. Его коэффициент один случай из 50 тысяч человек. В настоящее время в Казахстане на учете с такой патологией состоят 16 детей.
"Это генное нарушение. При нем у людей нездоровы дыхательные пути. Характерные черты: синклиты, бронхоэктазы и зеркальное расположение органов. Люди с таким диагнозом испытывают слабость, температуру, боль в ушах, одышку, хрипы. Поэтому пациенты с раннего возраста проходят лечение. Состоят на диспансерном учете у детского пульмонолога. В год они получают около пяти раз стационарное лечение, находятся под наблюдением врачей, пропивают антибиотики", - говорит собеседник.

Синдром Зиверта-Картагенера. Снимок предоставлен Сундетом Саргеловым
Как отмечает Сундет Саргелов, аномалия настолько редкая, что многие медицинские работники просто не сталкиваются с нею. А при выявлении - с интересом изучают.
"Эта патология как предмет очень интересна врачам. Некоторые доктора могут так и не встретить таких пациентов. Мне в этом отношении, можно сказать, повезло. Я через два года, как приступил к работе в отделении пульмонологии, впервые обнаружил аномалию у 9-летнего ребенка. Он поступил с кашлем. Когда начали обследовать рентген-аппаратами и сделали снимок, поняли, что у него обратно расположенное правосформированное сердце, правое легкое находится с левой стороны. Позже я узнал историю другого пациента. Ему мы выставили диагноз в 7-летнем возрасте. Мама хорошо занималась с ним: дыхательная гимнастика и бассейн. Благодаря этому в 13-14 лет он владел хорошей дыхательной мускулатурой и мог бронхоспазм снимать гимнастикой. Как-то он напугал своих сокурсников, они забежали в медпункт учебного заведения, сказали, что он сильно хрипит. Когда медработники пришли к нему, он уже дышал спокойно. Родителям таких детей я бы хотел сказать, что да, это действительно инвалидность, но главное, чтобы у ребенка не было частых обострений. Нужно лечиться. Выводить мокроту, делать промывания. Физические нагрузки для таких людей полезны, но профессиональными спортсменами быть сложно, поскольку жизненный объем легких мал", - подчеркнул Сундет Шакирович.
Похожие аномалии встречаются и в мире фауны. Например, среди виноградных улиток имеются так называемые "короли", у которых сердце, дыхательные и половые пути расположены аномально с левой стороны.
Автор: Сахибам Садырова